このページでは、次世代型マウスピース矯正の特長や活用範囲、さらにデジタル技術との融合によって、患者様一人ひとりのニーズにどのように応えているのかを詳しくご紹介します。
次世代型マウスピース矯正治療
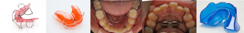
従来のマウスピース矯正では対応が難しかった症例にも適用可能な、次世代型マウスピース矯正を導入しています。
この治療法は、ワイヤー矯正と同等の広い適応力を持ち、これまでマウスピースでは対応が困難だった複雑なケースにも対応できます。
ワイヤー治療の選択
当院ではワイヤー矯正もご提供しておりますが、次世代型マウスピース矯正の効果と利便性により、ワイヤーを希望される患者様は少数となっています。
新納矯正歯科医院では、この新しい治療法を積極的にご提案しています。
次世代型マウスピースの特長とカスタマイズ
次世代型マウスピースは、患者様それぞれの症状に合わせてカスタマイズ可能です。
使用される素材は国内製で厚生労働省の認可を受けた安全性の高いものであり、形状記憶特性により歯の移動速度や硬さを精密に制御できます。
これにより、従来のマウスピースでは対応困難だったケースにも効果的な治療が可能となっています。
デジタル技術の活用
次世代型マウスピース矯正は、高度なデジタル技術と連携することでその真価を発揮します。治療計画の精度が飛躍的に向上し、国内外から患者様が来院されています。
治療経過に応じて、デジタルセットアップを活用した柔軟な調整も可能です。
小児および成人への治療適用
この技術は、小児の成長期においても、永久歯の生え変わりを連続的に治療できるため、従来のように段階を分ける必要がなく、より短期間での効果が期待できます。
成人の方には、審美性の高さと痛みの少なさを両立した治療が可能で、ホワイトニングとの併用もスムーズに行えます。
小児の次世代型マウスピース矯正治療について

上記のような装置は使用しません。
- 永久歯の生え変わりに合わせ、治療を分けずに連続して進めます。
- 成長を見極めながら骨格と歯並びを同時に整えていきます。
- 早期から歯並びを整えることで、噛み合わせや口腔環境が整い、後戻りのリスクを抑え、健やかな成長へ導きます。
- 固定式の金属やワイヤーを使用しないため、虫歯のリスクが低く、メタルフリーでアレルギーの心配も少なくなります。
- 保護者の方々からは「歯が生え変わるたびにきれいになっていく」というお声をいただいています。
- 永久歯が生え揃っても、ワイヤー矯正を追加で行う必要がないのが特長です。
成人の次世代型マウスピース矯正治療について
審美性と治療効果を両立させたいという大人のニーズに応える治療として、高い評価をいただいており、当院の専門性を支える強みでもあります。
- ワイヤー矯正と同等以上の適応範囲をもち、従来のマウスピースでは難しかった症例にも対応可能です。
- 3Dデジタル設計による治療で、高精度かつ効率的な矯正を実現します。
- 装置が薄く、痛みが少ないうえ、透明度が高く目立ちにくいのも特長です。
- 矯正治療と同時にホワイトニングの施術も可能です。
- 光加速装置の併用により、歯の移動スピードを高めることもできます。
新納矯正歯科医院が提供する「次世代型マウスピース矯正」
小児から成人まで幅広い患者様に、安全で効果的な矯正治療を提供し、生活の質の向上を目指しています。
従来の治療法では満たしきれなかったニーズにも対応し、より良い矯正治療の未来を切り開いてまいります。
アニメでわかる!「マウスピース矯正」
口腔全体の総合医療をご提供いたします。
医院施設内において専門治療を充実させたうえで、口腔全体の幅広い治療に対応できる
医院設備を整えています。

(新納歯科大崎医院内に設置)
【駐車場有】
| 診療時間 | 月 | 火 | 水 | 木 | 金 | 土 | 日 |
| [午前]9:00~13:00 | ● | ● | ● | - | ● | ● | - |
| [午後]14:00~18:00 (※土〜19:00) |
● | ● | ● | - | ● | ● | - |
| 診療時間 | 月 | 火 | 水 | 木 | 金 | 土 | 日 |
| [午前]10:00~13:00 | ● | ● | - | ● | ● | ● | - |
| [午後]15:00~19:00 | ● | ● | - | ● | ● | ● | - |



